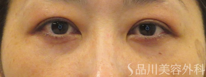
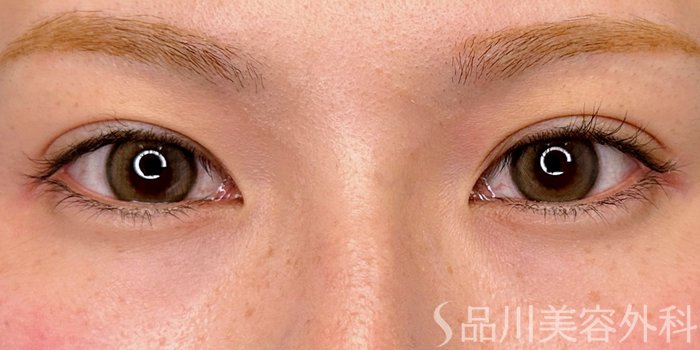
現在、27,157件の症例写真を公開中!
症例検索
最新の症例写真一覧
登録日:2026.03.22
リフトアップ

美肌糸リフト

新宿院:古屋医師によるたるみ改善 美肌糸リフト(ロング4本挿入)【施術前施術/直後】
施術名
美肌糸リフト
施術の説明
溶ける糸を挿入してたるみを引き上げ肌質を改善する施術
施術のリスク・副作用
ハレ/痛み:2日~1週間位 内出血:1~2週間位 針跡:数日~1週間位
施術の価格
4,500円~240,000円(税込)
古屋 智大
担当医
新宿院 古屋 智大
Before
症例NO.73420のBEFORE写真
After
症例NO.73420のAFTER写真
NO.73420
登録日:2026.03.22
プチ整形(注入治療)

レスチレン®リフト™リド

新宿院:板井院長によるヒアルロン酸注入 額出し(レスチレンリド使用)【施術前/施術直後】
施術名
レスチレン®リフト™リド
施術の説明
シワのある箇所やボリュームアップしたい箇所にヒアルロン酸を注入する治療
施術のリスク・副作用
腫れ:2~3日位。内出血:1~2日位。
施術の価格
41,460円~48,380円(税込)
板井 徹也
担当医
新宿院 板井 徹也
Before
症例NO.73419のBEFORE写真
After
症例NO.73419のAFTER写真
NO.73419
登録日:2026.03.22
リフトアップ

美肌糸リフト

新潟院城石院長による【美肌糸リフト(ロング6本)(直前/直後)】
施術名
美肌糸リフト
施術の説明
溶ける糸を挿入してたるみを引き上げ肌質を改善する施術
施術のリスク・副作用
ハレ/痛み:2日~1週間位 内出血:1~2週間位 針跡:数日~1週間位
施術の価格
4,500円~240,000円(税込)
城石 充
担当医
スキンクリニック新潟院 城石 充
Before
症例NO.73418のBEFORE写真
After
症例NO.73418のAFTER写真
NO.73418
登録日:2026.03.22
美容皮膚科

フォトシルクプラス, ケミカルピーリング, パール美肌

★★★吉原医師によるケミカルピーリング、フォトシルクプラス、パール美肌4回コース 4回目処置から1ヶ月後の症例です★★★
施術名
フォトシルクプラス
施術の説明
光照射によるシミ・くすみ治療
施術のリスク・副作用
かゆみ:わずかなかゆみ 治療間隔:3週間以上空けて数回
施術の価格
6,500円~44,100円(税込)
施術名
ケミカルピーリング
施術の説明
薬剤を塗り、古い角質を除去してターンオーバーを活性化させる治療
施術のリスク・副作用
かゆみ:わずかなかゆみやピリピリした感じ 治療間隔:2週間以上空けて数回
施術の価格
4,320円~10,370円(税込)
施術名
パール美肌
施術の説明
専用機器で美容成分を浸透させるトリートメント
施術のリスク・副作用
まれに赤みや一時的な皮膚の剥がれ。
施術の価格
4,950円~43,200円(税込)
吉原 諒
担当医
スキンクリニック神戸院 吉原 諒
Before
症例NO.73417のBEFORE写真
After
症例NO.73417のAFTER写真
NO.73417
登録日:2026.03.22
プチ整形(注入治療)

チャウムプレミアム

★★富久医師によるチャウムプレミアム(顎)2㏄ 施術1ヶ月後の症例です★★
施術名
チャウムプレミアム
施術の説明
鼻、アゴにヒアルロン酸を注入する治療
施術のリスク・副作用
ハレ:2~3日、内出血:3~7日位。
施術の価格
1cc 44,000円(モニター価格)~55,000円(税込)
富久 喬平
担当医
スキンクリニック神戸院 富久 喬平
Before
症例NO.73416のBEFORE写真
After
症例NO.73416のAFTER写真
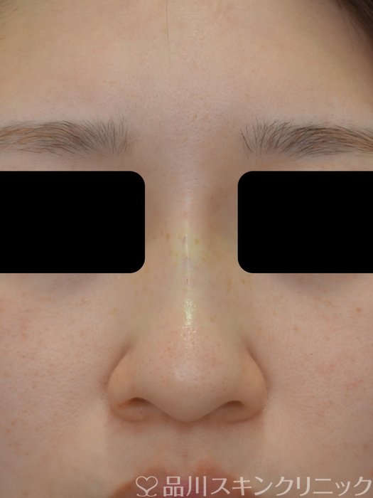
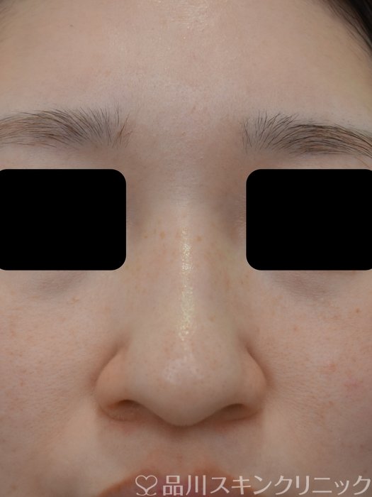
NO.73416
登録日:2026.03.21
プチ整形(注入治療)

チャウムプレミアム

新潟院城石院長による【ヒアルロン酸隆鼻術(チャウムプレミアム注入) 施術前/直後】
施術名
チャウムプレミアム
施術の説明
鼻、アゴにヒアルロン酸を注入する治療
施術のリスク・副作用
ハレ:2~3日、内出血:3~7日位。
施術の価格
1cc 44,000円(モニター価格)~55,000円(税込)
城石 充
担当医
スキンクリニック新潟院 城石 充
Before
症例NO.73415のBEFORE写真
After
症例NO.73415のAFTER写真
NO.73415
登録日:2026.03.21
プチ整形(注入治療)

レスチレン®リド, チャウムプレミアム

新潟院城石院長による【ヒアルロン酸注入(チャウムプレミアムアゴ)(直前/直後)・ レスチレン®リド(ほうれい線)(直前/直後)】
施術名
レスチレン®リド
施術の説明
シワのある箇所にヒアルロン酸を注入する治療
施術のリスク・副作用
ハレ:2~3日位。内出血:1~2日位。
施術の価格
31,100円~143,940円(税込)
施術名
チャウムプレミアム
施術の説明
鼻、アゴにヒアルロン酸を注入する治療
施術のリスク・副作用
ハレ:2~3日、内出血:3~7日位。
施術の価格
1cc 44,000円(モニター価格)~55,000円(税込)
城石 充
担当医
スキンクリニック新潟院 城石 充
Before
症例NO.73414のBEFORE写真
After
症例NO.73414のAFTER写真
NO.73414
登録日:2026.03.21
毛髪

メディカル髪育注射

技術指導医和田医師による髪育注射
施術名
メディカル髪育注射
施術の説明
頭皮に有効因子を注入して発毛・育毛の促進、脱毛の抑制する施術
施術のリスク・副作用
注入部分の赤みや針跡が2日位 稀に痛み、内出血、かゆみ:約1~2週間位
施術の価格
1㏄ 5,500円~ 10ccコース 49,500円(税込)
窪田 湧
担当医
スキンクリニック渋谷院 窪田 湧
Before
症例NO.73413のBEFORE写真
After
症例NO.73413のAFTER写真
NO.73413
登録日:2026.03.21
リフトアップ

美肌アモーレ, 美肌糸リフト

渋谷院飯泉医師による美肌糸リフト(ロング8本)
施術名
美肌アモーレ
施術の説明
溶ける糸を挿入してたるみを引き上げ肌質を改善する施術
施術のリスク・副作用
ハレ/痛み:2日~1週間位 内出血:1~2週間位 針跡:数日~1週間位
施術の価格
93,500円~486,200円(税込)
施術名
美肌糸リフト
施術の説明
溶ける糸を挿入してたるみを引き上げ肌質を改善する施術
施術のリスク・副作用
ハレ/痛み:2日~1週間位 内出血:1~2週間位 針跡:数日~1週間位
施術の価格
4,500円~240,000円(税込)
飯泉 岳斗
担当医
渋谷院 飯泉 岳斗
Before
症例NO.73412のBEFORE写真
After
症例NO.73412のAFTER写真
NO.73412
登録日:2026.03.21
リフトアップ

美肌糸リフト

新宿院:板井院長によるたるみ改善 美肌糸リフト(計ロング6本挿入)【施術前/直後】
施術名
美肌糸リフト
施術の説明
溶ける糸を挿入してたるみを引き上げ肌質を改善する施術
施術のリスク・副作用
ハレ/痛み:2日~1週間位 内出血:1~2週間位 針跡:数日~1週間位
施術の価格
4,500円~240,000円(税込)
板井 徹也
担当医
新宿院 板井 徹也
Before
症例NO.73411のBEFORE写真
After
症例NO.73411のAFTER写真
NO.73411
登録日:2026.03.21
リフトアップ

美肌糸リフト

新宿院:板井院長によるたるみ改善 美肌糸リフト(計ロング8本挿入)【施術前/直後】
施術名
美肌糸リフト
施術の説明
溶ける糸を挿入してたるみを引き上げ肌質を改善する施術
施術のリスク・副作用
ハレ/痛み:2日~1週間位 内出血:1~2週間位 針跡:数日~1週間位
施術の価格
4,500円~240,000円(税込)
板井 徹也
担当医
新宿院 板井 徹也
Before
症例NO.73410のBEFORE写真
After
症例NO.73410のAFTER写真
NO.73410
登録日:2026.03.21
プチ整形(注入治療)

プチシワ取り(ヒアルロン酸), レスチレン®リド

【横浜院 滝下医師による口角ヒアルロン酸注入】
施術名
プチシワ取り(ヒアルロン酸)
施術の説明
シワのある箇所にヒアルロン酸を注入する治療
施術のリスク・副作用
ハレ:2~3日位。内出血:1~2日位。
施術の価格
14,050円~17,590円(税込)
施術名
レスチレン®リド
施術の説明
シワのある箇所にヒアルロン酸を注入する治療
施術のリスク・副作用
ハレ:2~3日位。内出血:1~2日位。
施術の価格
31,100円~143,940円(税込)
滝下 広貴
担当医
横浜院 滝下 広貴
Before
症例NO.73409のBEFORE写真
After
症例NO.73409のAFTER写真
NO.73409
登録日:2026.03.21
リフトアップ

美肌糸リフト

【横浜院 川井医師の溶ける糸によるリフトアップ術(6本)】
施術名
美肌糸リフト
施術の説明
溶ける糸を挿入してたるみを引き上げ肌質を改善する施術
施術のリスク・副作用
ハレ/痛み:2日~1週間位 内出血:1~2週間位 針跡:数日~1週間位
施術の価格
4,500円~240,000円(税込)
川井 衛
担当医
横浜院 川井 衛
Before
症例NO.73408のBEFORE写真
After
症例NO.73408のAFTER写真
NO.73408
登録日:2026.03.20
プチ整形(注入治療)

クレヴィエル・コントア

新宿院:板井院長によるヒアルロン酸アゴ修整(クレヴィエル注入)【施術前/施術直後】
施術名
クレヴィエル・コントア
施術の説明
ヒアルロン酸注入でお鼻やアゴの形を整える治療
施術のリスク・副作用
ハレ:2~3日、内出血:3~7日位。
施術の価格
1cc 48,600円(モニター価格)~59,400円(税込)
板井 徹也
担当医
新宿院 板井 徹也
Before
症例NO.73407のBEFORE写真
After
症例NO.73407のAFTER写真
NO.73407
登録日:2026.03.20
プチ整形(注入治療)

レスチレン®リフト™リド

新宿院:古屋医師によるヒアルロン酸注入 額出し(レスチレンリド4cc使用)【施術前/施術直後】
施術名
レスチレン®リフト™リド
施術の説明
シワのある箇所やボリュームアップしたい箇所にヒアルロン酸を注入する治療
施術のリスク・副作用
腫れ:2~3日位。内出血:1~2日位。
施術の価格
41,460円~48,380円(税込)
古屋 智大
担当医
新宿院 古屋 智大
Before
症例NO.73406のBEFORE写真
After
症例NO.73406のAFTER写真
NO.73406