No: 73107
登録日:2026.02.18
目元・二重

スーパーナチュラル眉下リフト

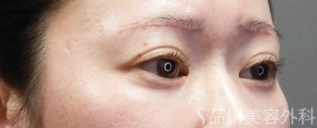
Before
症例NO.73107のBEFORE写真
1ヶ月後
After
症例NO.73107のAFTER写真
Before
症例NO.73107のBEFORE写真
1ヶ月後
After
症例NO.73107のAFTER写真
Before
症例NO.73107のBEFORE写真
1ヶ月後
After
症例NO.73107のAFTER写真
スーパーナチュラル眉下リフトの施術前/施術後1ヶ月♪
施術名
スーパーナチュラル眉下リフト
施術の説明
眉毛の下の厚い皮膚を切開し、目を大きくみせる施術
施術のリスク・副作用
ハレ/痛み:2日~1週間位 内出血:1~2週間位 傷跡:1ヶ月位 通院:5~7日後(抜糸)
施術の価格
242,000円(税込)
担当ドクター
亀上 隆
池袋院
亀上 隆

安全で快適な治療を心がけています。

クリニック情報
池袋院
診療時間
10:00〜20:00
電話番号
0120-824-900
住所
東京都豊島区東池袋1-13-6 ロクマルゲート池袋9F
アクセス
JR池袋駅35番出口を出て、サンシャイン60通り方面へ徒歩2分程歩いたところに位置するビル「ロクマルゲート」にございます。